به گزارش خبرگزاری دانا و به نقل از مدیکال اکسپرس، چنین پیامدی در زنان باردار غیر معمول است، اما زنانی که به کووید-۱۹ مبتلا میشوند با خطر بیشتری مواجه هستند.
محققان ۱۲ کشور از جمله ایالات متحده، به بررسی نمونهی بافت و جفت ۶۴ جنین که مرده به دنیا آمده بودند و چهار جنین که در مدت زمان کوتاهی پس از تولد جان خود را از دست دادند، پرداختند. تمامی این موارد مادرانی بودند که واکسن تزریق نکرده و در دوران بارداری به کووید-۱۹ مبتلا شده بودند.
دکتر "جفری گلدشتاین" (Jeffery Goldstein)، آسیبشناس دانشکده پزشکی فاینبرگ در دانشگاه نورث وسترن، میگوید: این مطالعه نشان میدهد که آسیب به جفت به جای آلوده کردن خود جنین باعث مردهزایی مرتبط به کووید-۱۹ میشود.
او در این مطالعه که روز پنجشنبه در مجلهی Archives of Pathology & Laboratory Medicine منتشر شده، شرکت نداشته است.
شواهد پیشین نشان داده است که احتمال مردهزایی در زنان بارداری که به کووید-۱۹ مبتلا میشوند، بیشتر است؛ به خصوص در کسانی که به سویه دلتا مبتلا شدهاند. واکسیناسیون برای زنان باردار توصیه شده است.
دکتر "دیوید شوارتز" (David Schwartz)، نویسنده اصلی این مقاله و پاتولوژیست آتلانتا میگوید: عفونتهای دیگر میتوانند با نفوذ به جفت باعث مردهزایی شوند و این کار را معمولا با آسیب به جنین انجام میدهند. یک مثال از آن ویروس زیکا است.
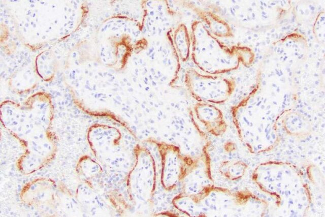
او و همکارانش میخواستند بدانند که آیا این موضوع در مردهزایی زنان مبتلا به کووید-۱۹ هم صادق است یا خیر. اما آن چه که آنها دریافتند، کاملا متفاوت بود. در این مورد خود جفت آلوده شده و به طور گسترده تخریب شده بود.
"شوارتز" میگوید: در بسیاری از این موارد بیش از ۹۰ درصد جفت تخریب شده بود.
بافت طبیعی جفت قرمزرنگ و اسفنجی است. نمونههایی که آنها مورد مطالعه قرار دادند، سفت و تیرهرنگ بودند. اگرچه که عفونتها گاهی باعث آسیب به جفت میشوند، اما "شوارتز" میگوید که تا کنون چنین آسیب گستردهای را مشاهده نکرده بود.
جفت اندامی است که در هنگام بارداری تشکیل میشود و به رحم متصل میشود و اکسیژن و مواد مغذی را از جریان خون مادر به نوزاد منتقل میکند.
ویروس احتمالا از جریان خون به جفت رسیده و با اتصال به سلولهای حساس باعث رسوب پروتئین و ایجاد نوعی التهاب غیرعادی شده است که جریان خون و اکسیژن را مسدود میکند.
ویروس کرونا در برخی از جنینها نیز رویت شد، اما شواهدی ناشی از آسیب به جفت محتملترین علت مرگ نوزاد بوده است.
گزارشی از مرکز کنترل و پیشگیری از بیماری در میان زنان باردار ایالات متحده آمریکا که مبتلا به کووید-۱۹ بودند، نشان داد که حدود یک مادر از هر ۸۰ زن باردار دچار مردهزایی میشود. این میزان در زنان بارداری که به کووید مبتلا نشده بودند، یک به ۱۵۵ است.
فشار خون بالا، بیماریهای مزمن و ناهنجاریهای جنینی از دلایلی هستند که احتمال مردهزایی را در میان زنان مبتلا به کووید-۱۹ افزایش میدهند.
هنوز مشخص نیست که آیا سویه اُمیکرون نیز باعث افزایش احتمال مردهزایی میشود یا خیر. این مطالعه پیش از ظهور این سویه به شدت واگیردار انجام شده است.
انتهای پیام
