به گزارش خبرگزاری دانا و به نقل از نیوزبریک، یک روش درمانی جدید با وادار کردن سلولهای سرطانی به حالت خفته که در آن قادر به تکثیر نیستند، از رشد تومورهای قابل متاستاز در موشها جلوگیری میکند. این پژوهش میتواند به ارائه درمانهای جدیدی بیانجامد که از بازگشت یا گسترش انواع گوناگون سرطان، از جمله سرطان پستان و "کارسینوم سلول سنگفرشی سر و گردن"(HNSCC) جلوگیری میکنند.
بسیاری از بیماران مبتلا به سرطان، اغلب سالها یا دههها پس از درمان ابتدایی، بازگشت بیماری را تجربه میکنند و تومورهای جدیدی در بدن آنها شکل میگیرند که دوباره در همان مکان رشد مییابند یا به سایر قسمتهای بدن میرسند. این تومورهای ثانویه، اغلب نسبت به درمان مقاوم هستند و توسط سلولهای توموری تولید میشوند که پیش از فعالیت و تکثیر مجدد ممکن است برای دورههای طولانی خاموش بماند. بنابراین، اگر پژوهشگران بتوانند راهی را برای نگه داشتن سلولهای سرطانی باقیمانده در حالت خفته پیدا کنند، ممکن است از بازگشت بیماری جلوگیری شود.
"ماریا سولداد سوسا"(Maria Soledad Sosa)، پژوهشگر "مدرسه پزشکی آیکان در مانت ساینای"(ISMMS) و "خولیو آگویر گیسو"(Julio Aguirre Ghiso)، پژوهشگر "کالج پزشکی آلبرت اینشتین"(Albert Einstein College of Medicine)، در پژوهش پیشین خود دریافتند که توانایی سلولهای سرطانی برای خاموش ماندن، توسط پروتئینی موسوم به "NR2F1" کنترل میشود. این پروتئین گیرنده میتواند وارد هسته سلول شود و ژنهای بسیاری را روشن یا خاموش کند تا برنامهای فعال شود که از تکثیر سلولهای سرطانی جلوگیری میکند. سطح NR2F1 معمولا در تومورهای ابتدایی کم است اما در سلولهای سرطانی غیرفعال، افزایش مییابد. هنگامی که سلولهای سرطانی دوباره تکثیر را آغاز میکنند و تومورهای عودکننده یا متاستاتیک را تشکیل میدهند، سطح پروتئین NR2F1 یک بار دیگر کاهش مییابد.
آگویر گیسو گفت: ما فکر کردیم که شاید فعال کردن NR2F1 با استفاده از یک مولکول کوچک، یک راهبرد بالینی جذاب برای القای خواب به سلولهای سرطانی و جلوگیری از بازگشت و متاستاز بیماری باشد.
این گروه پژوهشی، از یک روش رایانهای برای شناسایی دارویی موسوم به "C26" استفاده کردند که NR2F1 را فعال میکند. آنها دریافتند که درمان سلولهای کارسینوم سلول سنگفرشی سر و گردن با C26، به افزایش سطح NR2F1 و توقف تکثیر سلولی منجر میشود.
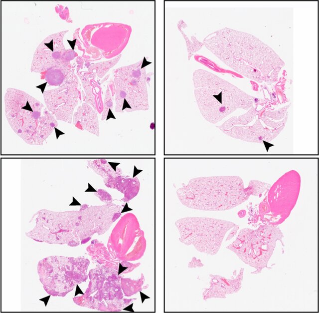
سپس پژوهشگران به بررسی این موضوع پرداختند که آیا C26، از متاستاز در موشها جلوگیری میکند یا خیر.

حیواناتی که سلولهای کارسینوم سلول سنگفرشی سر و گردن به دست آمده از بیمار به آنها تزریق میشود، معمولا تومورهای ابتدایی بزرگی را تشکیل میدهند که پس از برداشتن تومور اصلی، به ریهها گسترش مییابند. درمان موشها با C26 در این آزمایش، اندازه تومورهای ابتدایی را کاهش داد و پس از جراحی، دوزهای بیشتر C26 توانست رشد تومورهای متاستاتیک را به طور کامل متوقف کند. ریه موشها پس از درمان، تنها چند سلول سرطانی غیرفعال را در بر داشت که حتی پس از قطع کردن درمان نیز قادر به تکثیر نبودند.
پژوهشگران دریافتند که C26 با فعال کردن NR2F1، سلولهای سرطانی را به حالت خواب بلندمدت فرو میبرد که با الگوی منحصر به فرد فعالیت ژن مشخص میشود. بازگشت بیماری در بیماران مبتلا به سرطان که تومورهای آنها الگوی مشابهی از فعالیت ژن را نشان میدهند، دیده نمیشود و این نشان میدهد که القای برنامه خواب با C26 میتواند در انسان نیز موثر باشد.
سوسا گفت: داروهایی که NR2F1 را فعال میکنند، ممکن است به ویژه برای درمان سرطان پستان مفید باشند. شاید فعال کردن NR2F1 بتواند بیداری مجدد سلولهای سرطانی خفته را سرکوب کند. از آنجا که درمان C26، سطح NR2F1 را افزایش میدهد، این روش ممکن است برای درمان سرطانهای دیگر نیز مفید باشد.
آگویر گیسو گفت: پژوهش ما به طور کلی، راهبردی مبتنی بر یک مکانیسم منطقی را برای بهرهبرداری از خواب فعالشده با NR2F1 به عنوان یک گزینه درمانی برای جلوگیری از متاستاز نشان میدهد.
این پژوهش، در "Journal of Experimental Medicine" به چاپ رسید.